Опыт лечения гастроэзофагеальной рефлюксной болезни. Терапевтические аспекты гастроэзофагеальной рефлюксной болезни
- Опыт лечения гастроэзофагеальной рефлюксной болезни. Терапевтические аспекты гастроэзофагеальной рефлюксной болезни
- Рефлюкс-эзофагит на нервной почве. Материалы и методы
- Рефлюкс-эзофагит форум. Проявления заболевания
- Как выглядит язык при гэрб. Стоматологические проявления гастроэзофагеальной рефлюксной болезни
- Современное лечение гастроэзофагеальной рефлюксной болезни. Самсонов А.А. Современная терапия гастроэзофагеальной рефлюксной болезни // Медицинский вестник. 2012. № 9 (586).
- Я вылечила рефлюкс-эзофагит. Рефлюкс эзофагит
- Как лечить гэрб навсегда народными средствами. Осложнения гастроэзофагеальной рефлюксной болезни
Опыт лечения гастроэзофагеальной рефлюксной болезни. Терапевтические аспекты гастроэзофагеальной рефлюксной болезни
« Эффективная фармакотерапия в гастроэнтерологии», апрель 2008, №1, с. 2-7
Л.В. Масловский, О.Н. Минушкин,
ФГУ УНМЦ УД Президента РФ
В последние годы отмечается рост заболеваемости гастроэзофагеальной рефлюксной болезнью (ГЭРБ). Эпидемиологические исследования, проведенные в Европе и Северной Америке, показали, что симптомы ГЭРБ испытывают ежедневно 4-10% населения, еженедельно – 20-30%, ежемесячно – 50%, а заболеваемость неуклонно возрастает (39, 40, 42,). Частота ГЭРБ существенно ниже в развивающихся странах Африки и Азии.
Российские исследования, проведенные в рамках программы ВОЗ MONICA (Мониторинг заболеваемости и смертности от сердечно-сосудистых заболеваний и уровней их факторов риска) в Новосибирске, показали сопоставимую с вышеперечисленными данными частоту ГЭРБ. Изжогу испытывают 51,4% мужчин и 48,5% женщин (8). По данным Ставраки Е.С. и соавт., при анкетировании 13612 респондентов из 11 городов России оказалось, что изжогу испытывают 59,8% опрошенных (60,2% – мужчин и 59,4% – женщин), причем часто и постоянно – 16,5% (23). Следует иметь в виду, что изучение истинной распространенности ГЭРБ в популяции затруднено из-за отсутствия четкого определения ГЭРБ и «золотого» диагностического стандарта.
По мнению одних авторов, « ГЭРБ, несмотря на название – «болезнь», нозологической формой не является. Это комплекс клинических симптомов и/или морфологических изменений, которые возникают в результате заброса содержимого желудка в пищевод» (3). Другие исследователи считают, что «гастроэзофагеальная рефлюксная болезнь – это хроническое рецидивирующее заболевание, обусловленное спонтанным, регулярно повторяющимся забросом в пищевод желудочного и/или дуоденального содержимого, приводящим к повреждению дистальных отделов пищевода и появлению характерных симптомов (изжоги, ретростернальных болей, дисфагии)» (7).
Среди существующих определений ГЭРБ, наиболее востребованным остается данное на Генвальской конференции: «Термин «гастроэзо-фагеальная рефлюксная болезнь» может использоваться для объединения всех индивидуумов, которые подвергаются риску физических осложнений от гастроэзофагеального рефлюкса или испытывают клинически значимое нарушение благополучного существования (качества жизни) из-за симптомов, связанных с рефлюксом, после адекватного подтверждения их доброкачественной природы» (30). Основным его достоинством, по нашему мнению, является официальное признание в рамках ГЭРБ эндоскопически негативной (неэрозивной) рефлюксной болезни (НЭРБ). Диагностическим стандартом НЭРБ, по сути, является симптоматика (в первую очередь – изжога), которая приводит к клинически значимому снижению качества жизни. Согласно недавно прошедшему Монреальскому консенсусу по определению и классификации гастроэзофагеальной рефлюксной болезни, «ГЭРБ – состояние, которое развивается в тех случаях, когда рефлюкс желудочного содержимого вызывает причиняющие беспокойство симптомы и/ или осложнения» (45).
Рефлюкс-эзофагит на нервной почве. Материалы и методы
В исследование включили 60 пациентов с ГЭРБ в возрасте от 19 до 72 лет (средний возраст 46,2±1,6 года). Продолжительность заболевания составила от 3 мес до 20 лет. Все пациенты разделены на 2 равные группы в зависимости от проводившегося лечения: больным 1-й группы назначена стандартная медикаментозная терапия, а пациенты 2-й группы в дополнение к этому получали психотерапевтическое лечение. Обе группы сопоставимы по полу, возрасту и продолжительности заболевания.
Медикаментозная терапия включала ингибитор протонного насоса (ИПН) омепразол, антациды (суспензия, в 15 мл которой содержится 525 мг алюминия гидроксида и 600 мг магния гидроксида) и прокинетики (домперидон). Дозировка ИПН зависела от клинической формы заболевания. При неэрозивной форме рефлюксной болезни (НЭРБ) омепразол назначали по 20 мг 1 раз в день за 30 мин до завтрака, при эрозивной ГЭРБ - по 40 мг/сут (20 мг 2 раза в день - утром и вечером за 30 мин до еды). В случае недостаточно быстрой динамики заживления эрозий или при наличии внепищеводных проявлений ГЭРБ использовали высокую дозу омепразола - 60-80 мг/сут. Лечение продолжалось 4 нед. Все пациенты принимали прокинетик домперидон по 10 мг 3 раза в день за 20 мин до еды в течение 2 нед. При сохранении жалоб на изжогу в первые дни терапии дополнительно назначали суспензию, в 15 мл которой содержится 525 мг алюминия гидроксида и 600 мг магния гидроксида, по 15 мл 4 раза в сутки (в промежутках между едой и дополнительно на ночь). При рефлюкс-эзофагите, обусловленном забросом в пищевод содержимого ДПК, в том числе желчных кислот, больные принимали урсодеоксихолевую кислоту в дозе 250-350 мг/сут в зависимости от массы тела пациента.
Рефлюкс-эзофагит форум. Проявления заболевания
Рефлюкс-эзофагит является одним из вариантов развития гастроэзофагеальной рефлюксной болезни, или сокращенно ГЭРБ, с воспалительным процессом в пищеводе. В основе ГЭРБ лежит нарушение работы нижнего пищеводного сфинктера. Он неплотно смыкается или спонтанно открывается. При нарушении моторики нижнего отдела пищевода и понижении тонуса сфинктера пищевода происходит заброс некоторого количества едкой соляной кислоты (желудочного сока), содержащей частички непереваренной пищи, ферментов, слизи из желудка, в пищевод. Составляющие желудочного сока (пепсин и соляная кислота) агрессивно действуют на слизистую оболочку пищевода, вызывая ее ожог. При длительном и частом забросе нежная слизистая воспаляется. Со временем воспаление становится хроническим, появляются эрозии и язвы. Ослабляется перистальтика грудного отдела пищевода, снижение выделения слюны и муцина нарушают защитные свойства пищевода.
Заброс содержимого желудка в пищевод не всегда является признаком эзофагита. Такое возможно и у здоровых людей. Но у них эпизоды кратковременные, часто возникают после приема пищи и длятся не более 5 минут, затем проходят. Если неприятная симптоматика проявляется нечасто и кратковременно, это не считается патологией, а относится к нормальным явлениям.
У здорового человека проявление неприятной симптоматики нивелируются самим организмом. В желудке обеспечивается контроль кислотности. Пищевод сам избавляется от попавшей в него рефлюксной массы. Верхний и нижний сфинктеры выполняют роль клапанов, закрывая пищевод от глотки и желудка. Целостные слизистые обеспечивают нормальный кровоток. Все эти защитные системы организма не позволяют проявляться неприятной симптоматике рефлюкс-эзофагита у здорового человека.

При наличии нарушений в каком-нибудь элементе этого звена, развивается патологический процесс. Сначала все протекает без ярко выраженной симптоматики. Сам рефлюкс проявляется через несколько лет после первых изменений. В дальнейшем симптоматика только усиливаются, добавляются новые признаки.
Эзофагит-рефлюкс проявляется пищеводными и непищеводными признаками.
К непищеводным проявлениям воспаления слизистой оболочки желудка относят:
- фарингит, сиплость голоса;
- разрушение эмали зубов в результате заброса едкого желудочного содержимого в полость рта;
- приступы удушья, кашель, не связанный с простудными заболеваниями.
К пищеводным признакам эзофагита-рефлюкса относят:
- жжение в верхней части живота и за грудиной, которое может носить различную интенсивность (изжога). Симптом проявляется в 80% случаев рефлюкс-эзофагита;
- болезненность при глотании (одинофагия);
- отрыжка с кислым прикусом, возникающая после употребления газировки, после употребления острой, кислой пищи;
- болезненные ощущения за грудиной, связанные с приемом пищи. Неприятные симптомы исчезают после принятия лекарств, снижающих кислотность желудочного сока (антацидов);
- затрудненное проглатывание пищи (дисфагия).
Рефлюкс-эзофагит часто встречается у взрослого населения, особенно у мужчин среднего возраста, любящих употреблять крепкие спиртные напитки и пить крепкий кофе, особенно на голодный желудок.
Немаловажным негативным фактором, способствующим развитию рефлюкса, является курение.
Женщины и дети также страдают от этого недуга, особенно если они любят нарушать диету, их рацион составляет жареная, жирная, копченая, перченая пища, фаст-фуд и различного рода газировки, особенно с едким (кислотным) цветом.

Как выглядит язык при гэрб. Стоматологические проявления гастроэзофагеальной рефлюксной болезни
При патологии пищеварительной системы изменения в полости рта встречаются очень часто. Главная роль в возникновении стоматологических заболеваний при гастроэзофагеальной рефлюксной болезни принадлежит соляной кислоте. При рефлюксе она попадает в ротовую полость, что приводит к снижению рН слюны.Слюна, в норме обогащена кальцием, фосфатами, содержит карбонаты, натрий, калий, магний и обладающая щелочными свойствами. Понижение рН слюны, особенно до величин меньших 6,2, приводит к деминерализации эмали зубов с появлением эрозий твердых тканей зубов и образованием в них полостей (кариеса).Слюна является регулятором общего количества микроорганизмов. Изменения ее физико-химических свойств в результате гастроэзофагеального рефлюкса могут способствовать дисбиозу в полости рта.К числу наиболее характерных поражений относятся:- поражение мягких тканей (афтозный стоматит, изменения сосочков языка, жжение языка);
- некариозные поражения твёрдых тканей зубов (эрозии эмали);
- кариес;
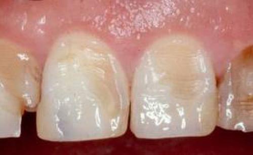
Эрозии зубов | |
![]() | Эрозии зубов - патологические изменения, проявляющиеся разрушением эмали и обнажением дентина. Такие патологические изменения могут наблюдаться у лиц, работающих с парами кислот (например, установка автомобильных аккумуляторов), а также при булимии (чрезмерном потреблении пищи), при частом употреблении цитрусовых плодов и кислых напитков. Частая изжога , рвота , отрыжка кислым , гастроэзофагеальные рефлюксы способствуют длительному эрозивному воздействию рефлюктата на поверхность зубов. |
| Симптомы эрозии зубной эмали проявляются вначале в поражении поверхностного слоя, который сопровождается потерей блеска эмали. Дальнейшее развитие эрозии проявляется повышенной чувствительности к горячей и холодной пище, появлением болезненных ощущений. Более поздние стадии развития отмечаются пигментацией и повреждением зуба. |
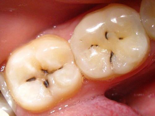
Кариес | |
| Кариес (в переводе с латыни "гниение") – разрушение зуба, которое начинается с растворения минеральных веществ, входящих в состав зуба, с последующим разрушением твердых тканей зуба и образованием кариозной полости. Деминерализация, как и при эрозии, обусловливается частыми кисыми гастроэзофагеальными рефлюксами. Характеризуется появлением на эмали пигментного пятна желтовато-коричневого цвета, неприятного запаха изо рта, реакцией зуба на кислую, сладкую, холодную или горячую пищу, ноющей болью. При развитии глубокого кариеса возможно присоединение пульпита, а затем и периодонтита. Запущенный кариес может привести к потере зуба. Кариозные зубы могут быть источником инфекции для всего организма. | ![]() |
В зависимости от глубины поражения твердых тканей зуба выделяют 4 формы кариеса.
|
Современное лечение гастроэзофагеальной рефлюксной болезни. Самсонов А.А. Современная терапия гастроэзофагеальной рефлюксной болезни // Медицинский вестник. 2012. № 9 (586).
Современная терапия гастроэзофагеальной рефлюксной болезниА.А. Самсонов, профессор кафедры пропедевтики внутренних болезней и гастроэнтерологии МГМСУ (Москва), доктор медицинских наук В настоящее время гастроэзофагеальная рефлюксная болезнь (ГЭРБ) занимает лидирующее положение среди всей патологии верхних отделов желудочно-кишечного тракта (ЖКТ), потеснив язвенную болезнь в общей структуре кислотозависимых заболеваний. Согласно Всеобщему Монреальскому консенсусу 2005 г. проявления ГЭРБ классифицируются на пищеводные синдромы (с повреждением или без повреждения пищевода) и внепищеводные синдромы с установленной или предположительной связью с гастроэзофагеальным рефлюксом. Клинико-эндоскопически различают неэрозивную рефлюксную болезнь (НЭРБ) и эндоскопически позитивную форму заболевания. Неэрозивная рефлюксная болезнь относится к типичным рефлюксным синдромам без видимых повреждений пищевода. Многофакторное кислотозависимое заболевание Распространенность ГЭРБ сохраняется стабильно высокой на протяжении последних десятилетий с максимумом в США и странах Западной Европы (около 20% населения) и минимумом в Китае (2,5%) и Корее (3,5%). При этом ежедневно симптомы ГЭРБ испытывают 4—10% лиц, еженедельно — 20—30%, и ежемесячно — около 50% опрошенных. Одно из последних популяционных эпидемиологических исследований в России, результаты которого были опубликованы в 2007 году, показало, что распространенность ГЭРБ (наличие изжоги и/или кислой отрыжки 1 раз в неделю и чаще на протяжении последних 12 месяцев) среди взрослого населения страны составляет 13,3% . Начало формы С патофизиологической точки зрения ГЭРБ представляет собой многофакторное кислотозависимое заболевание с первичным нарушением двигательной функции верхних отделов пищеварительного тракта. Большое значение в формировании ГЭРБ играет нарушение функции антирефлюксного барьера, которое может происходить по нескольким причинам: при полной или частичной его деструктуризации, например, при грыже пищеводного отверстия диафрагмы; за счет первичного снижения давления в нижнем пищеводном сфинктере (НПС); в результате увеличения числа эпизодов спонтанного (преходящего) расслабления НПС. Преходящее (транзиторное) расслабление нижнего пищеводного сфинктера служит ведущим механизмом желудочно-пищеводного рефлюкса как у здоровых людей (физиологическая отрыжка воздухом при торопливой еде или переедании), так и у пациентов с ГЭРБ. У последних имеет место гипотония или даже атония НПС. Причинами снижения тонуса НПС могут быть: поражение блуждающего нерва (ваготомия, вагусная нейропатия при сахарном диабете); потребление продуктов, содержащих кофеин (кофе, чай, кока-кола, энергетические напитки), а также лекарственных средств. В настоящее время все большее количество исследователей склоняются к тому, что важным кофактором патогенеза ГЭРБ являются нарушения моторной активности желудка — желудочные дисритмии. Особое внимание уделяется таким нарушениям моторики желудка и 12-перстной кишки, как замедленная эвакуация желудочного содержимого из проксимального отдела желудка, нарушения антродуоденальной координации и дуоденогастральный рефлюкс. Примечательно, что для антродуоденальной дискоординации характерными симптомами являются изжога, отрыжка кислым, горьким, срыгивание пищи, т.е. характерные симптомы ГЭРБ. По результатам исследований, изучавших моторную функцию верхних отделов ЖКТ с помощью сцинтиграфии желудка, было установлено, что замедленное опорожнение желудка у пациентов с ГЭРБ имеет место в 26—30% случаев. Наиболее характерный симптом — изжога Клинические проявления ГЭРБ отличаются широким спектром симптомов и характеризуются значительной вариабельностью частоты, интенсивности и продолжительности их возникновения. Наиболее характерным, часто моносимптомом ГЭРБ является изжога. Она воспринимается большинством пациентов как мучительное чувство жжения различной интенсивности и продолжительности за грудиной, в области глотки, шеи, реже в эпигастрии. В соответствии с существующим положением (Генвальская конференция, 1998), если изжога является главным или единственным симптомом, то у 75% индивидуумов ее причина — ГЭРБ. О наличии ГЭРБ можно думать, если изжога возникает 2 или более дней в неделю. По частоте регистрации в общей структуре клинических проявлений ГЭРБ симптом изжоги занимает превалирующее положение, встречаясь в 81% случаев. Считается, что главным в механизме возникновения данного симптома при ГЭРБ является длительное воздействие на слизистую оболочку пищевода соляной кислоты и пепсина при нарушении запирательной функции кардии и возникновении желудочно-пищеводного рефлюкса. При этом решающим фактором развития повреждений слизистой пищевода является частота, интенсивность и продолжительность кислотных забросов (процент времени с рН Главными осложнениями ГЭРБ являются стриктуры и язвенные поражения пищевода, кровотечения из эрозий и язв и формирование пищевода Барретта (развитие в пищеводе цилиндроклеточной метаплазии). Основные цели в лечении ГЭРБ Первым скрининговым этапом диагностики всех клинико-эндоскопических форм ГЭРБ является опрос и анализ врачом жалоб пациента и анамнеза заболевания. При оценке симптомов необходимо учитывать тяжесть, частоту, продолжительность и время их возникновения. К основным методам подтверждения диагноза ГЭРБ относятся рентгенологическое исследование пищевода, эзофагоскопия, суточное мониторирование внутрипищеводного рН , манометрическое исследование пищевода , импедансометрия и билиметрия пищевода. Основными целями в лечении ГЭРБ являются: быстрое и полное купирование клинической симптоматики заболевания; заживление эрозий и язв слизистой оболочки пищевода; профилактика рецидивов; предотвращение или устранение осложнений; повышение качества жизни пациентов. Указанные задачи достигаются с помощью изменения образа жизни, режима и характера питания, рациональной лекарственной терапии и в ряде случаев антирефлюксного хирургического лечения. Изменение образа жизни (lifestyle modification) полностью сохраняет свою значимость в лечении больных ГЭРБ и нередко позволяет устранить значимые факторы риска заболевания. Традиционно рекомендуется ряд мер, направленных на устранение агентов, неблагоприятно влияющих на моторику пищевода или повышающих внутрибрюшное давление: отказ от курения; снижение массы тела при наличии избыточного веса; сон с приподнятым с помощью подставок на 15—20 см головным концом кровати; отказ от ношения тесной одежды, чрезмерной нагрузки на мышцы брюшного пресса; ограничение приема лекарственных препаратов, снижающих тонус НПС; устранение явлений хронического запора. Какая-либо специальная диета для пациентов с ГЭРБ отсутствует, хотя и имеется ряд важных ограничений в режиме и характере питания. Больные ГЭРБ до эпителизации дефектов слизистой оболочки должны придерживаться стола № 1. Вместе с тем, несмотря на важность выполнения перечисленных лечебно-профилактических мероприятий, в подавляющем большинстве случаев пациенты с ГЭРБ нуждаются в медикаментозной терапии. Фактор кислотной агрессии В настоящее время в арсенале врача имеется целый ряд современных средств патогенетической терапии ГЭРБ, позволяющих в большинстве случаев эффективно устранить клинические проявления болезни и добиться эпителизации эрозий и язв слизистой оболочки пищевода. Одновременно назначение медикаментозной терапии составляет и основу профилактики осложнений, предотвращения прогрессирования и рецидивов заболевания, а также приводит к значительному улучшению качества жизни пациентов. Краеугольным камнем современного лечения ГЭРБ являются препараты, наиболее эффективно устраняющие фактор кислотной агрессии — ингибиторы протонной помпы (ИПП). ИПП — последнее поколение антисекреторных средств, действуют непосредственно на протонную помпу париетальной клетки, ингибируя ее активность по перекачке водородных ионов в просвет желудочных желез. На сегодняшний день существует несколько поколений препаратов этой группы. При сравнении эффективности антацидов , блокаторов Н2-рецепторов гистамина и ИПП в лечении кислотозависимых заболеваний ЖКТ было выявлено преимущество ИПП в скорости купирования клинических проявлений, явлений воспаления, заживления дефектов слизистой оболочки. Результаты метаанализов работ, посвященных сравнительной оценке эффективности использования блокаторов желудочной секреции, показали, что частота заживления эрозий слизистой оболочки пищевода в течение 12 недель лечения составляет при применении ИПП более 80%. Эти данные полностью соответствуют так называемому правилу Белла, в соответствии с которым эрозии пищевода заживают в 80—90% случаев при условии поддержания уровня внутрипищеводного рН выше 4 не менее 16—22 часов в течение суток, что достигается только при использовании ИПП. Таким образом, в настоящее время ИПП признаны наиболее эффективными препаратами в лечении ГЭРБ, которые должны назначаться практически во всех случаях. Стандартные схемы лечения пациентов с ГЭРБ в соответствии с рекомендациями РГГА и зарубежных консенсусов должны всегда включать ИПП, при этом их комбинация с прокинетиками последнего поколения ( итоприда гидрохлорид ) и препаратами адъювантной терапии (антациды) является более предпочтительной в сравнении с монотерапией антисекреторными средствами. ИПП должны применяться (основной курс лечения) в стандартной дозе один раз в сутки не менее 8 недель. При лечении НЭРБ возможно уменьшение дозы ИПП. В случае недостаточной эффективности терапии, особенно при наличии эзофагита степеней С или D, можно назначить ИПП в стандартной дозе два раза в сутки. Если больной отвечает на терапию, то рекомендуется постепенно снижать дозу используемых препаратов с переводом на поддерживающую терапию. При возникновении рецидива заболевания продолжается поддерживающее лечение ИПП в минимально эффективной дозе. Курс поддерживающего лечения ГЭРБ составляет, в соответствии с рекомендациями РГГА, 16—24 недели. В некоторых случаях поддерживающее лечение проводят до 52 недель и более, вплоть до постоянного лечения. Существует четкая программа При негативном ответе на 8-недельный курс антисекреторной терапии следует провести дополнительное обследование ( суточная рН-метрия , рН-импедансометрия , рН-билиметрия, манометрия ) и исключить другие заболевания с похожей симптоматикой. Применение прокинетиков при ГЭРБ продиктовано главным механизмом патогенеза заболевания и позволяет устранить регургитацию содержимого желудка в пищевод, снижая процент рецидивов заболевания. Опыт использования итоприда гидрохлорида в составе комбинированной терапии с ИПП у больных ГЭРБ обнаружил, что данный прокинетик достоверно усиливает сократительную активность НПС, что подтверждается увеличением давления в его области желудочно-пищеводного перехода, а также усиливает моторную активность желудка, ускоряет желудочную эвакуацию и нормализует нарушенную гастродуоденальную координацию. При оценке результатов 24-часовой рН-метрии на фоне терапии итопридом выявлено снижение количества кислых гастроэзофагеальных рефлюксов, а также уменьшение общего времени с рН в пищеводе менее 4. Анализ данных электрогастроэнтерографии показал наличие нормализации функциональной активности ЖКТ, улучшение амплитудных и частотных характеристик различных отделов пищеварительного тракта, в том числе и желудка. В качестве адъювантной терапии в состав комплексной терапии ГЭРБ, согласно последним европейским алгоритмам, включаются также и антацидные средства. Таким образом, сегодня в терапии ГЭРБ существует достаточно четкая программа действий по медикаментозному лечению больных ГЭРБ, где базисным звеном является эффективная кислотная супрессия с помощью ингибиторов протонной помпы, а необходимым дополнением, повышающим эффективность терапии, являются современные прокинетики и антацидные средства. |
Я вылечила рефлюкс-эзофагит. Рефлюкс эзофагит
В результате регулярно повторяющегося спонтанного заброса в пищевод желудочного и/или кишечного содержимого, обладающего раздражающим действием, в стенке нижнего отдела пищевода развивается воспалительный процесс — рефлюкс-эзофагит. Это хроническое рецидивирующее заболевание можно отнести к наиболее распространенным среди взрослых. Рефлюкс-эзофагит диагностирован у 30% взрослых пациентов, хотя показатели весьма приблизительны, поскольку многие просто не обращаются к врачу.
Причины рефлюкс-эзофагита
Заболевание развивается вследствие контакта содержимого желудка и двенадцатиперстной кишки со слизистой пищевода, попадающего при несостоятельности нижнего пищеводного сфинктера, расположенного на границе желудка и пищевода. В результате нарушения моторики органов гастроэзофагеальной зоны кислое желудочное содержимое, находясь в пищеводе в течение определенного времени, повреждает клетки слизистой.
Факторами, способствующими развитию рефлюкс-эзофагита, являются грыжа пищеводного отверстия диафрагмы — ГПОД, лишний вес, беременность, приводящие к повышению внутрибрюшного давления, прием некоторых медикаментов, курение.

Симптомы
Клиническая картина зависит от выраженности воспалительного процесса и состояния сфинктера пищевода, рефлюкс-эзофагит сопровождается комплексом диспептических, пульмонологических и кардиологических нарушений. Основными симптомами рефлюкс-эзофагита являются:
- Изжога, проявляющаяся в виде жжения за грудиной, в зоне мечевидного отростка — наиболее характерный признак, встречающийся у более чем ¾ пациентов. Неприятные и болезненные ощущения могут появляться после еды, при физической нагрузке, наклонах тела и даже в горизонтальном положении, спровоцировать изжогу может ношение тугого пояса.
- Отрыжка, возникающая после еды, газированных напитков — второй по частоте симптом рефлюкс-эзофагита. Может появляться даже в горизонтальном положении тела, но чаще — при физической нагрузке.
- Дисфагия — затрудненное прохождение пищи, возникающие при нарушении моторики верхних отделов пищеварительного тракта или при стриктуре — сужении просвета пищевода.
- Одинофагия — загрудинная или межлопаточная боль, появляющаяся при прохождении пищи по пищеводу. Болезненные ощущения могут отдавать в межреберье и даже напоминать приступ стенокардии.
- Регургитация — срыгивание, при котором содержимое желудка поступает в полость рта. Появляется независимо от положения тела и физической активности человека.
Как лечить гэрб навсегда народными средствами. Осложнения гастроэзофагеальной рефлюксной болезни
Изжога — основной и во многом единственный симптом ГЭРБ. Другие проявления встречаются намного реже и связаны, как правило, с осложнённым течением ГЭРБ.
Осложнениями ГЭРБ можно считать внепищеводные проявления болезни. Чаще всего возникают нарушения работы органов дыхания, ларингофарингеальный рефлюкс и стоматологические поражения.
Нарушение работы органов дыхания: кашель, нарушение дыхания, свисты и хрипы при вдохе, бронхиальная астма . Впервые приступы удушья, связанные с переполнением желудка, описал канадский врач Уильям Ослер в 1892 году. Он уже тогда доказал, что забросы желудочного содержимого в пищевод могут вызвать бронхоспазм. Это может случиться, если заброс высокий и содержимое желудка частично попадает в трахею и бронхи.
Если ГЭРБ вызвал или усугубил бронхиальную астму, при этом увеличилась частота и интенсивность приступов удушья, врач может преждевременно назначить гормональную терапию, чтобы улучшить состояние пациента.
Ларингофарингеальный рефлюкс. Тоже довольно часто встречается при ГЭРБ. Суть в том, что содержимое желудка забрасывается в глотку и приводит к хронической рецидивирующей ЛОР-патологии: ларингитам , фарингитам и др. Характерные симптомы для этого состояния — неприятные ощущения, дискомфорт и боли в области горла и гортани.
Кандидоз полости рта . Желудочное содержимое изменяет физико-химические свойства слюны, вызывает дисбиоз полости рта. Как следствие, может развиться оральный кандидоз.
Стоматологические поражения. Чаще всего встречаются:
- Поражение мягких тканей: жжение языка и афтозный стоматит , который проявляется образованием болезненных язвочек на слизистой оболочке рта.
- Кариес и некариозные поражения зубов (например, эрозии эмали ). При забросе содержимого желудка в полость рта меняется минеральный слой ткани зуба, что вызывает развитие кариеса. В последующем кариозный зуб может быть источником инфекции для всего организма.
- Галитоз (неприятный запах изо рта). Он носит не только эстетический характер, но и может указывать на серьёзные проблемы со здоровьем.
Среди грозных осложнений ГЭРБ выделяют пептические язвы и стриктуры пищевода, а также пищевод Барретта и аденокарциному:
- Пептические язвы пищевода . При появлении таких язв возникают загрудинные боли различной степени выраженности, как при язвенной болезни желудка . Эти язвы медленно заживают и часто рецидивируют. После лечения пептические язвы рубцуются и становятся причиной стриктуры.
- Стриктура, или сужение, пищевода. Развивается на фоне рубцующихся пептических язв пищевода и эрозивно-язвенного рефлюкс-эзофагита. При этом становится сложно и больно глотать. Если эти симптомы сочетаются с похудением, анемией или кровотечением, следует обратиться к онкологу, чтобы исключить злокачественную опухоль. В зависимости от диаметра пищевода выделяется 4 степени стеноза:
- I степень — диаметр просвета 9 – 11 мм;
- II степень — 6 – 8 мм;
- III степень — 3 – 5 мм;
- IV степень — 1 – 2 мм или просвет пищевода полностью закупорен. .

